Autoras:
Dra. Camila Yañez Alballay
Dra. Fabiola Vargas Peña
Santiago de Chile, Chile.
Los autores autorizan la publicación de este caso clínico en Sociedad Latinoamericana de Radiología Pediátrica.
Caso galardonado con el primer premio en el Congreso SLARP Bolivia 2025
1. HISTORIA CLÍNICA
Femenina de 11 años edad, sin antecedentes mórbidos. Aumento de volumen abdominal de 2 meses de evolución. Consulta en SU por dolor que se acrecienta. Se realiza US de abdomen. Ante hallazgos en US, se decide realizar TC y posteriormente RM.2. HALLAZGOS RADIOLÓGICOS
Masa abdominal en fosa iliaca derecha
Imágenes Ecografía y TC





A partir de las imágenes en ultrasonido y TC de abdomen y pelvis. Cual de las siguientes descripciones es la que mas se ajusta a los hallazgos:
FALSO (en este caso)
VERDADERO (en este caso)
FALSO (en este caso)




3. Descripción de los hallazgos radiológicos
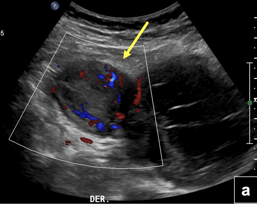
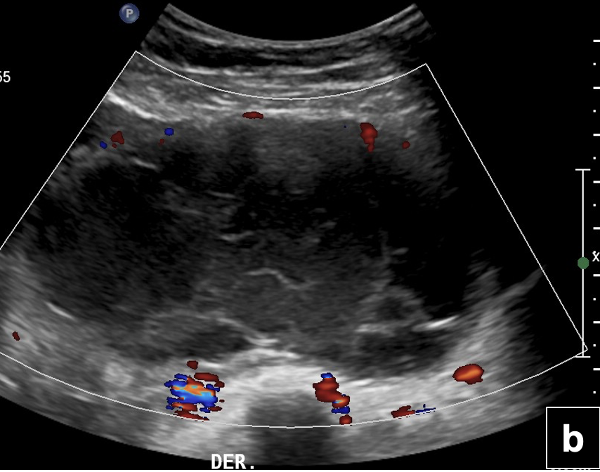
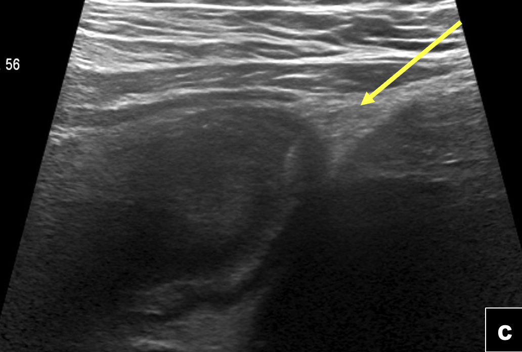
US de abdomen y pelvis: (a) Engrosamiento nodular solido del íleon distal (flecha) vascularizado al Doppler color, (b) el que se continua con imagen quística compleja de gran tamaño ubicada en la fosa iliaca derecha. (c) Engrosamiento parietal difuso de ileón distal visualizado con transductor de alta frecuencia (flecha)
* Ovarios de características ecográficas normales (no representados en este reporte).
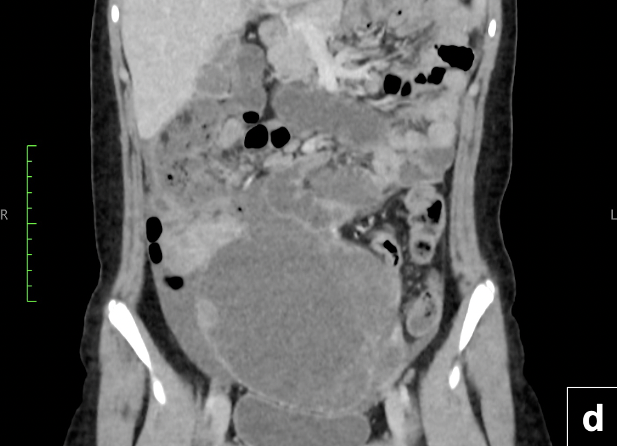
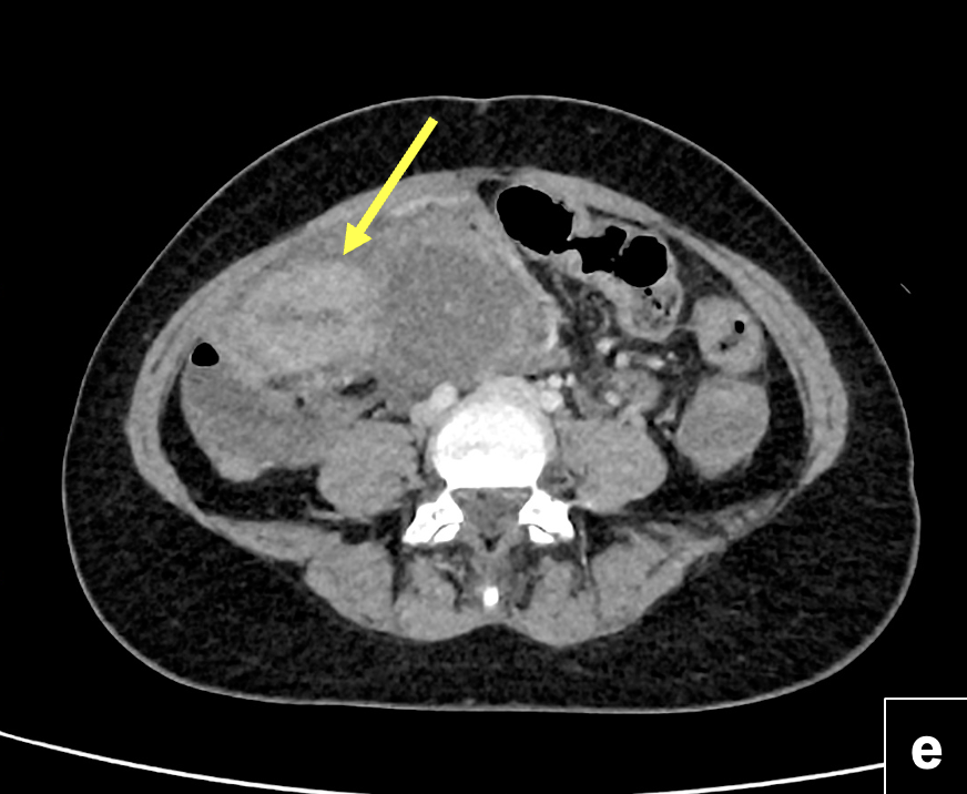
TC de abdomen y pelvis: (d) y (e): estudio coronal y axial con contraste que evidencia tumor sólido de íleon distal, con extenso componente sólido – quístico que se aloja en el hemiabdomen inferior. Se observa realce heterogéneo del componente solido (flecha). También es posible visualizar leve cantidad de líquido peritoneal y mayor densidad del tejido adiposo circundante.
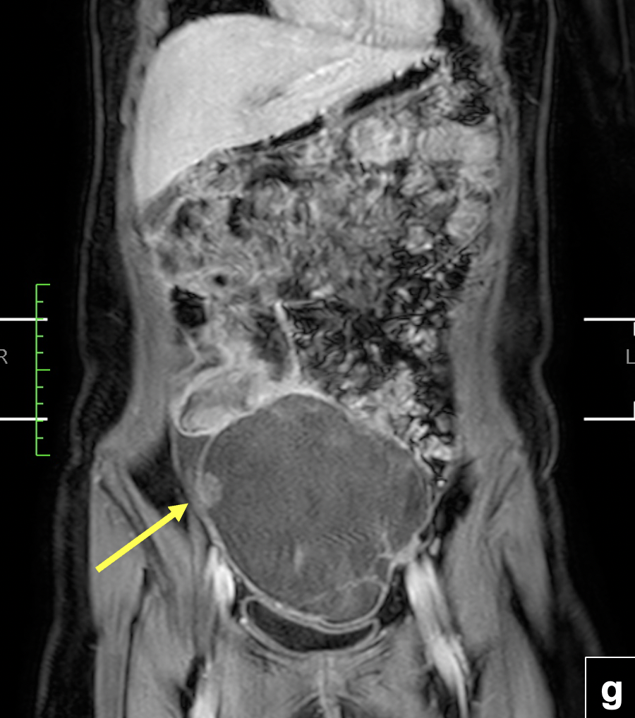
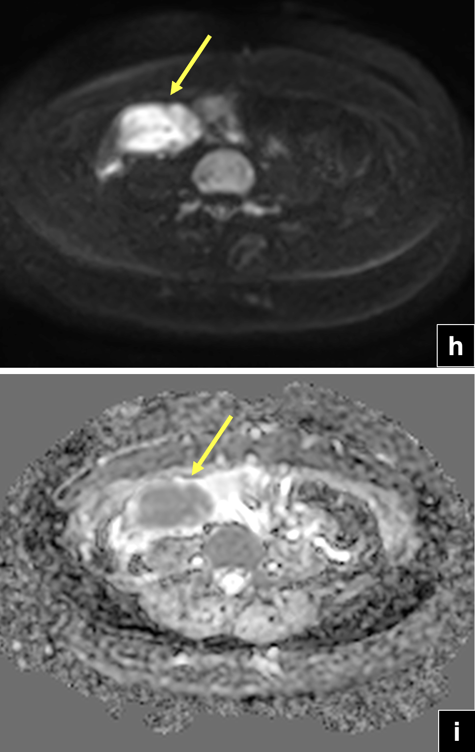
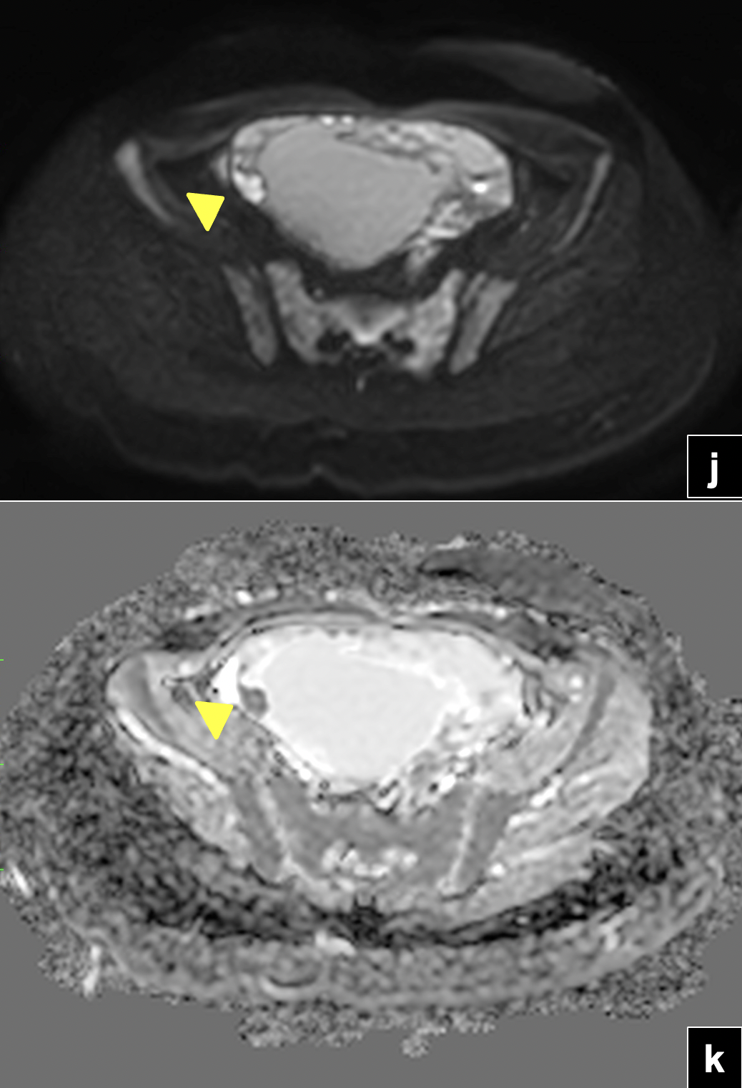
RM de abdomen y pelvis: (f) Secuencias T2 sagital. Se observa tumor solido de íleon distal (flecha) con componente quístico tabicado en hipogastrio (cabeza de flecha). Se visualiza ovario derecho de morfología conservada (asterisco). (g) Secuencia T1 FSE con Gadolinio en plano coronal. Masa quística hipogástrica con tabiques e imagen nodular periférica que realza con el uso de contraste (flecha). Efecto de masa intrabdominal visualizado por el desplazamiento hacia inferior de la pared vesical.Secuencias de pelvis axial en difusión (h,j) y mapa ADC (i,k), que demuestra restricción a la difusión de protones del componente solido del tumor de íleon en estudio y del componente sólido periférico de la masa quística hipogástrica (flecha y cabeza de flecha).
4. Diagnósticos diferenciales
1. Linfoma
2. Tumor miofibroblastico
3. Sarcoma de Ewing
4. Tumor de GIST
5. Tumor neuroendocrino
6. Adenoma/adenomioma
5. Diagnóstico final
Haz click aquí para ver el diagnóstico final
Sarcoma de Ewing extraóseo
Seleccione la opción correcta
6. Descripción del diagnóstico final
Tumor altamente maligno que afecta típicamente a los huesos. Su manifestación en gastrointestinal es muy rara, con escasos casos reportados en la literatura.
El pronóstico es desfavorable, con alta mortalidad especialmente en casos con diseminación abdominopélvica.
Debido a su naturaleza agresiva, puede ocurrir necrosis y cambios quísticos al interior de la masa, lo que demostrara un realce heterogéneo en imágenes. Características que carecen de especificidad.
Las imágenes tienen un rol en evaluar la extensión local y metastásica de la enfermedad. Sin embargo, el diagnóstico definitivo se basa en características histopatológicas y en el fenotipo inmunohistoquímico-molecular.
El tratamiento implica la escisión quirúrgica local, con quimioterapia y radioterapia adyuvantes, aunque basado en experiencia científica limitada.
7. Bibliografía
1.- Abboud, A., Masrouha, K., Saliba, M., Haidar, R., Saab, R., Khoury, N., Tawil, A., &Saghieh, S. (2021). Extraskeletal Ewing sarcoma: Diagnosis, management and prognosis. Oncology Letters, 21(5), 354. https://doi.org/10.3892/ol.2021.12615
2.- Ladd, A. P., &Grosfeld, J. L. (2006). Gastrointestinal tumors in children and adolescents. Seminars in PediatricSurgery, 15(1), 37–47. https://doi.org/10.1053/j.sempedsurg.2005.11.007
3.- López Sosa, F. H., Valadez, M. T., Cruz Contreras, L., &Perezpeña-Diazconti, M. (2016). Extraskeletal Ewing sarcoma in a 16-year-old femaleadolescent. Boletín Médico Del Hospital Infantil de México (English Edition), 73(3), 202–211. https://doi.org/10.1016/j.bmhime.2017.10.001
4.- Luo, B., Gao, W., Li, T., Yu, X., &Guo, F. (2024). Primary Ewing’s sarcoma of the intestine: case report and literature review. Frontiers in Oncology, 14, 1357945. https://doi.org/10.3389/fonc.2024.1357945
5 .- Wright, A., Desai, M., Bolan, C. W., Badawy, M., Guccione, J., Rao Korivi, B., Pickhardt, P. J., Mellnick, V. M., Lubner, M. G., Chen, L., &Elsayes, K. M. (2022). Extraskeletal Ewing sarcoma from head to toe: Multimodality imaging review. Radiographics: A Review Publication of the Radiological Society of North America, Inc, 42(4), 1145–1160. https://doi.org/10.1148/rg.210226



