Autores:
Dra. Martínez Agustina
Dr. Horenstein Martín
Instituto Diagnóstico Médico (IDM). San Rafael, Mendoza, Argentina.
Los autores autorizan la publicación de este caso clínico en Sociedad Latinoamericana de Radiología Pediátrica.
1. HISTORIA CLÍNICA
Paciente femenino cursando 25 semanas de gestación, sin antecedentes patológicos, derivada a nuestra institución por sospecha de malformación cerebral.
2. HALLAZGOS EN IMÁGENES








3. HALLAZGOS RADIOLÓGICOS
¿Cuál es la sospecha diagnóstica?
Seleccione la opción correcta
4. DESCRIPCIÓN DE LOS HALLAZGOS RADIOLÓGICOS
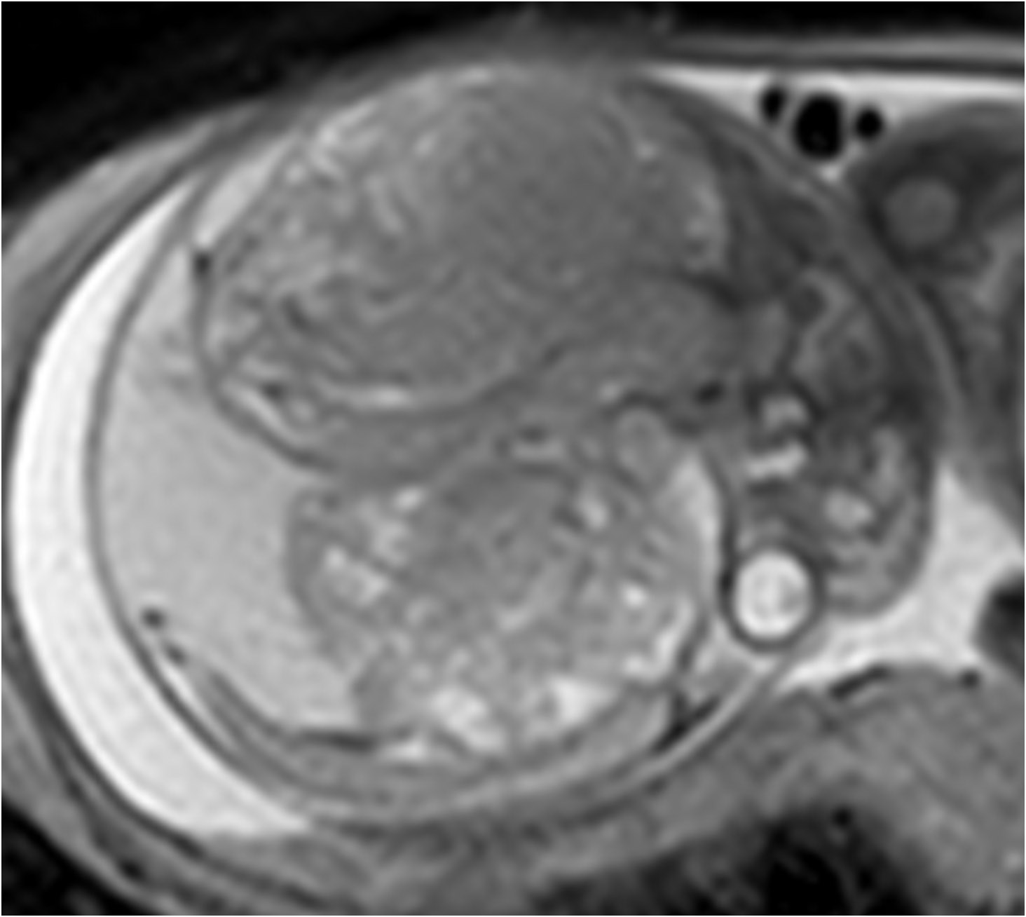
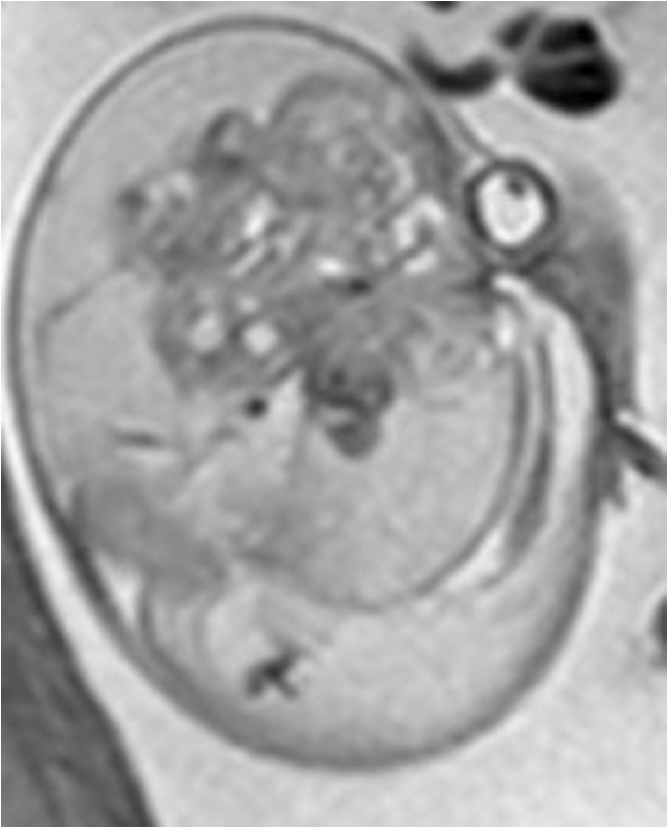
Se objetiva aumento del tamaño cefálico a expensas de extensa masa intracraneal espacio – ocupante, heterogénea, con áreas quísticas y calcificaciones, que genera efecto de masa con desplazamiento del parénquima cerebral remanente y marcada dilatación del sistema ventricular. Se observa protrusión del globo ocular derecho con exoftalmos del mismo.
RMN fetal: Incremento de tamaño cefálico, secundario a la presencia de voluminosa masa intracraneal, que presenta intensidad de señal heterogénea, con áreas quísticas, condicionando marcada dilatación del sistema ventricular. Esta masa se extiende a través de la órbita derecha, ocupando su totalidad, condicionando exoftalmo ocular.
5. DIAGNÓSTICO DIFERENCIAL
Seleccione la opción correcta
6. RESOLUCIÓN DEL CASO
Se decide cesárea a las 27 semanas por aumento de la circunferencia cefálica, para preservar salud y futuro reproductivo de la paciente. Se envía a anatomía patológica.
7. DIAGNÓSTICO FINAL
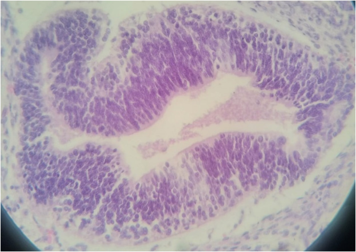
El análisis histopatológico revela proliferación neoplásica maligna craneal compuesta por elementos neurales inmaduros que asemejan al tubo neural embrionario, seudorosetas y elementos cartilaginosos, compatible con Tumor embrionario con rosetas multicapas (ETMR) (Meduloepitelioma), siendo una neoplasia maligna del SNC altamente agresiva de probable origen cerebral o del nervio óptico.
8. DESCRIPCIÓN DEL DIAGNÓSTICO FINAL Y CASO EN FORMA DETALLADA
Los tumores embrionarios del SNC son lesiones malignas de origen neuroepitelial biológicamente heterogéneas, infrecuentes pero letales. La incidencia de los tu fetales se estima en 0.5 – 1.9% de todos los tu pediátricos. El diagnóstico prenatal suele realizarse en el segundo o tercer trimestre y no modifica el pronóstico fetal que es uniformemente sombrío. Pueden originarse en cualquier lugar del SNC como voluminosas masas intracraneales, de rápido crecimiento y altamente agresivas. El tumor ETMR es una neoplasia poco frecuente. Es un tumor agresivo (grado 4 de la OMS) con muy mal pronóstico. Por sus características moleculares fue incluido por primera vez en la clasificación de 2016. Se caracteriza por grandes lesiones de predominio sólido, con efecto de masa. Es casusa de macrocrania fetal progresiva en la segunda mitad del embarazo. No existen intervenciones prenatales que mejoren el pronóstico perinatal por lo que la vigilancia obstétrica deberá enfocarse en reducir los riesgos maternos para proteger el futuro reproductivo.
9. Bibliografía
- Louis DN, Perry A, Wesseling P, Brat DJ, Cree IA, Figarella-Branger D, et al. The 2021 WHO classification of tumors of the Central Nervous System: A summary. Neuro Oncol. 2021;23(8): 1231–51. dx.doi.org/10.1093/neuonc/noab106
- Wang B, Gogia B, Fuller GN, Ketonen LM. Embryonal tumor withmultilayeredrosettes, C19MC-altered: Clinical, pathological, and neuroimaging findings: ETMR, C19MC-altered: Clinical, pathological, and neuroimaging findings. J Neuroimaging. 2018;28(5):483–9. doi.org/10.1111/jon.12524
- Louis DN, Perry A, Reifenberger G, von Deimling A, Figarella-Branger D, Cavenee WK, et al. The 2016 world health organization classification of tumors of the central nervous system: A summary. ActaNeuropathol. 2016;131(6):803–20. doi.org/10.1007/s00401-016-1545-1
- Saada, et al Early second-trimester diagnosis of intracranial teratoma. 07 November 2008. UltrasoundObstetGynec 2009 Jan; 33 (1), 109-11. doi: 10.1002/uog.6231.
- Schlembach, et al (1999). Fetal intracranial tumors detected byultrasound: a report of two cases and review ofthe literature. Ultrasound ObstetGynecol1999;14:407–418CA SE REPO RT Received 15–12–97Revised 21–9–98Accepted 24–9–9840797/218 AMA: First Proof 18 April, 19100
- Buelow Pc et al. Congenitalbraintumors; A review of 45 cases. Am J Roentgenol. 1990 Sep;155(3):587-93.



