Autores:
Parra Rosales R.G., Bermúdez Monroy L.F., Almanza Aranda J., Sánchez Curiel M.
Hospital Infantil de México, Federico Gómez. Ciudad de México, México.
Los autores autorizan la publicación de este caso clínico en Sociedad Latinoamericana de Radiología Pediátrica.
1. BREVE HISTORIA CLÍNICA
Adolescente de 16 años con antecedente familiar de cáncer de mama y próstata. Inicia en mayo de 2025 con aumento progresivo de volumen en mama derecha, exantema y pérdida de 3 kg. A la exploración se identifica masa móvil y dolorosa de 5 × 4 × 4 cm en cuadrante superointerno, con adenomegalias axilares y supraclaviculares.
2. Hallazgos por imagen





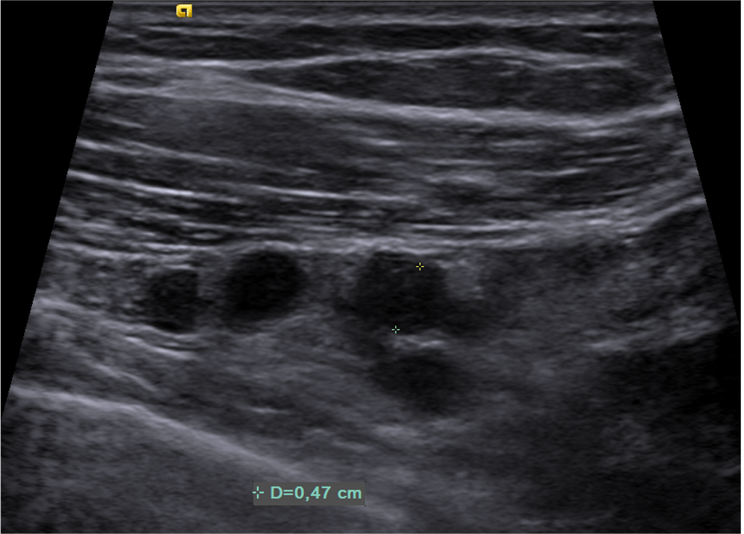
Imágenes de ecografía mamaria derecha con tranductor lineal (A, B, C), y a nivel subclavio derecho (D) y en región axilar derecha (E).
3. OPCIONES POSIBLES DE LOS HALLAZGOS RADIOLOGICOS
Seleccione la opción correcta
4. DESCRIPCION DETALLADA DE LOS HALLAZGOS RADIOLOGICOS:






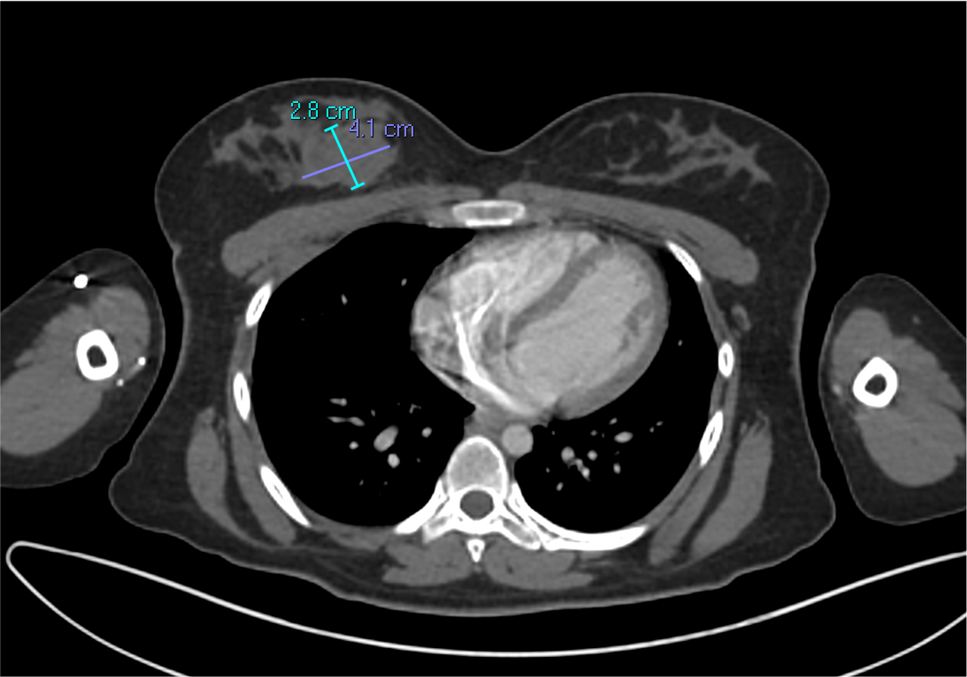
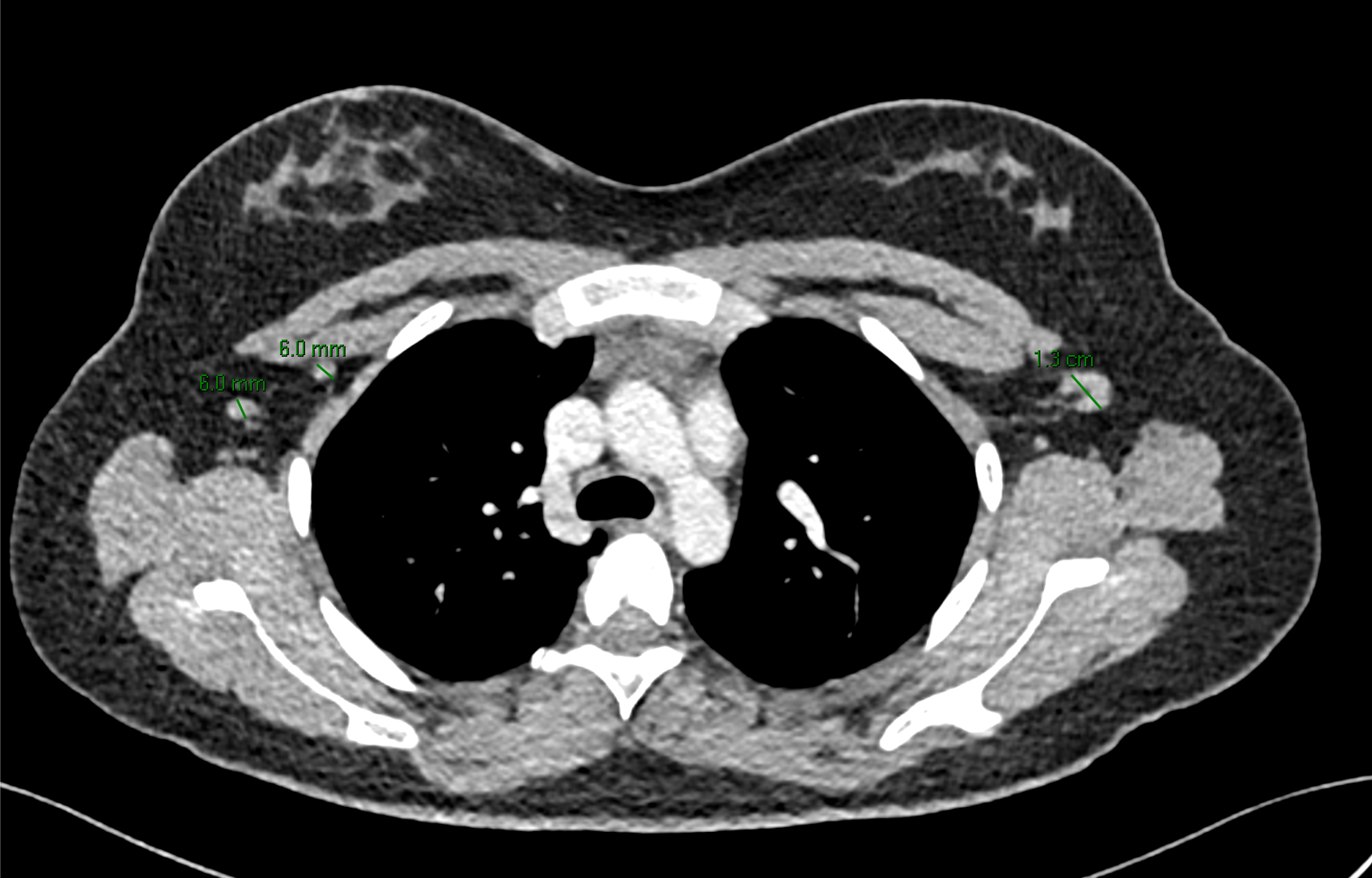
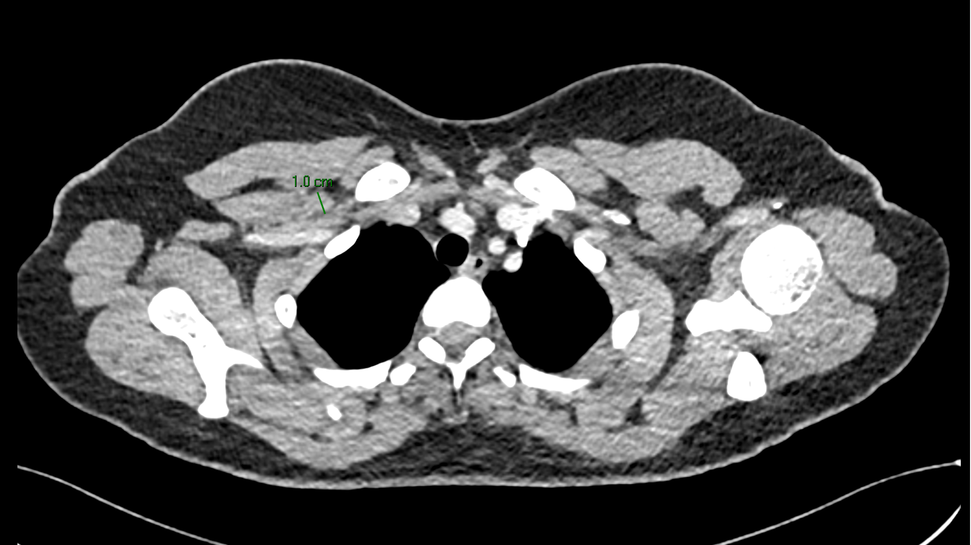
Imágenes de tomografía en adquisición axial en ventana para tejido blando, fase venosa, con su correspondiente correlación con imágenes de PET CT.
F. Mama derecha heterogénea, por la presencia de nódulo de composición sólida, homogénea, con realce periférico tras la administración de medio de contraste, localizado hacia cuadrantes internos y medidas aproximadas de 28×41 mm.
G. Imagen de PET CT a nivel de mama derecha identificando lesión sólida visualizada por tomografía, asociada a hipermetabolismo.
K. Región axila derecha con presencia de múltiples ganglios de morfología ovoidea, con pérdida de su hilio graso central y eje corto de hasta 6 mm. Región axilar izquierda con ganglio que conserva morfología, hilio graso con eje corto de hasta 13 mm.
I. Imagen de PET CT con adenopatías axilares bilaterales asociadas con hipermetabolismo.
J, K Ganglio subclavio derecho con pérdida de su morfología e hilio graso, con eje corto de hasta 10 mm, con hipermetabolismo
5. DE ACUERDO CON LOS HALLAZGOS EL POSIBLE DIAGNÓSTICO DE ÉSTA PACIENTE ES:
Seleccione la opción correcta
6. Diagnóstico final
Haz click aquí para ver el diagnóstico final
Sarcoma de Ewing extraóseo
7. DESCRIPCIÓN DEL DIAGNÓSTICO DIFERENCIAL Y DE TODO EL CASO DE FORMA MÁS DETALLADA.
La revisión histopatológica confirmó sarcoma de Ewing en mama derecha y los estudios de extensión (TAC, PET-CT y aspirado de médula ósea) demostraron enfermedad localizada, sin infiltración medular ni metástasis.
Las lesiones mamarias pediátricas difieren de las del adulto y, tras la pubertad, predominan entidades benignas; las neoplasias malignas son raras y con frecuencia metastásicas El sarcoma de Ewing comprende la forma ósea y la variante extraesquelética, que se origina en tejidos blandos y representa aproximadamente 15–20% de los casos. El sarcoma de Ewing primario de mama pertenece a este último grupo y es una entidad excepcional, con escasos casos descritos; los sarcomas constituyen menos del 1% de las neoplasias malignas mamarias y afectan principalmente a adolescentes. No se ha identificado una predisposición genética o racial específica para la localización mamaria.
La estadificación se basa en estudios de imagen: la ecografía suele ser inicial, mientras que la tomografía y la resonancia magnética muestran masas complejas sin características específicas. La tomografía de tórax y el PET-CT son fundamentales para detectar metástasis y evaluar la respuesta al tratamiento, y la gammagrafía ósea permite identificar compromiso esquelético.
El manejo recomendado es multimodal (cirugía, quimioterapia y radioterapia).
El pronóstico depende del estadio y la respuesta terapéutica, con supervivencia a cinco años de 70–80% en enfermedad localizada y menor en casos metastásicos. Dada su rareza, debe considerarse en el diagnóstico diferencial de masas mamarias en mujeres jóvenes.



