Caso del Mes SLARP – Abril 2026

Autoras:

Dra. Blumenfeld Ingrid Úrsula
Dra. Retamar Baggio Agustina
Dra. Orozco María Eugenia
Dra. Lostra Juliana
Dra. Cermeño Claudia

Hospital J. P. Garrahan
Ciudad Autónoma de Buenos Aires
Argentina

Contacto: ab.retamarbaggio@gmail.com

Los autores autorizan la publicación de este caso clínico en Sociedad Latinoamericana de Radiología Pediátrica.

Caso galardonado con el segundo premio en el Congreso SLARP Bolivia 2025

1. HISTORIA CLÍNICA

Paciente femenina de 5 años, previamente sana, consulta por tumoración cervical anterior. En la anamnesis refiere astenia y pérdida de peso de 2 meses de evolución. Al examen físico se palpa en región cervical anterior izquierda, tumoración de consistencia duro-pétrea, indolora. A nivel abdominal se palpa masa en flanco e hipocondrio izquierdo. Laboratorio con LDH aumentada. Se realiza ecografía abdominal y cervical.

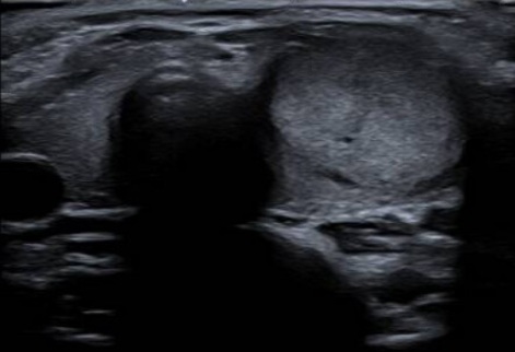
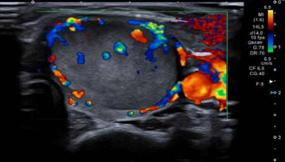
2. ECOGRAFÍA CERVICAL

Ante estos hallazgos en la ecografía cervical ¿cuál es su sospecha?

FALSO (en este caso)

VERDADERO (en este caso)

FALSO (en este caso)

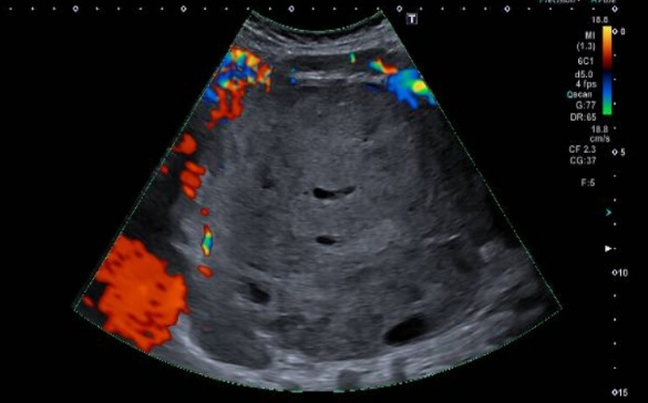
3. ECOGRAFÍA ABDOMINAL

Ante estos hallazgos en la ecografía cervical ¿cuál es su sospecha?

FALSO (en este caso)

FALSO (en este caso)

VERDADERO (en este caso)

FALSO (en este caso)

FALSO (en este caso)

4. Descripción de los hallazgos

Ecografía cervical: Lóbulo tiroideo izquierdo aumentado de tamaño a expensas de
imagen nodular sólida, heterogénea, predominantemente isoecoica, sin calcificaciones
y con vascularización desorganizada al examen Doppler color.

Ecografía abdominal: Voluminosa masa sólida heterogénea, con áreas quísticas, que
se extiende desde el hipocondrio izquierdo hasta fosa ilíaca izquierda. Impresiona de
origen renal. Presenta vascularización periférica al examen Doppler color. En hilio renal
derecho se observa imagen de similares características y de menor tamaño.

Ante los hallazgos de dos masas concomitantes se solicitan estudios de mayor complejidad. Se
realiza Resonancia magnética de abdomen, y TC de tórax como parte de protocolo de estudio
de impacto en otros órganos.

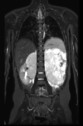
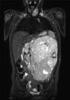
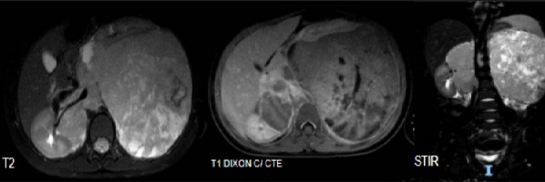
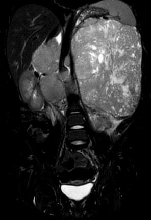
5. RMN Abdomen con contraste:

6. TC tórax

7. Descripción de los hallazgos

RMN: Masa retroperitoneal hipointensa en T1, realce heterogéneo con el contraste.
Hiperintensa en T2. Restringe en su mayor proporción y áreas que no restringen en relación
con áreas de necrosis.

TC TÓRAX: En segmento apicoposterior del lóbulo superior de pulmón izquierdo, se observan
imagen quística de paredes finas.

En base a los datos clínicos y los hallazgos imagenológicos descritos en la ecografía, tomografía
computada (TC) y resonancia magnética (RM), ¿cuál de los siguientes diagnósticos
diferenciales considera más probable?

8. DIAGNÓSTICOS DIFERENCIALES

FALSO (en este caso)

FALSO (en este caso)

9. Descripción detallada del diagnóstico diferencial

Reportamos el caso de una paciente con masas sincrónicas en abdomen y cuello. En el abordaje inicial, se plantearon diversos diagnósticos diferenciales basados en síndromes de predisposición tumoral y neoplasias pediátricas agresivas.

La Neoplasia Endocrina Múltiple tipo 2 (MEN2), causada por mutaciones en el gen RET, se manifiesta con tumores en glándulas endocrinas, predominantemente carcinoma medular de tiroides, feocromocitoma e hiperparatiroidismo. Asimismo, se consideró el Síndrome de von Hippel-Lindau, trastorno autosómico dominante que predispone al desarrollo de hemangioblastomas en el sistema nervioso central y retina, carcinoma de células renales, feocromocitomas y tumores neuroendocrinos pancreáticos.

Desde la perspectiva oncológica renal, se evaluó el Sarcoma de Células Claras del Riñón (SCCR), neoplasia maligna rara y de comportamiento agresivo, segundo tumor renal más frecuente tras el tumor de Wilms en menores de 3 años, caracterizada por una marcada tendencia a la metástasis ósea, pulmonar y cerebral. También se incluyó al Neuroblastoma, el tumor sólido extracraneal más común en la infancia, originado frecuentemente en las glándulas suprarrenales y manifestado clínicamente con masa abdominal, fiebre y compromiso del estado general.

Finalmente, se consideró el Síndrome de DICER1, trastorno genético derivado de una mutación en la línea germinal del gen homónimo. Este conlleva un riesgo incrementado de neoplasias benignas y malignas multiorgánicas, incluyendo blastoma pleuropulmonar, quistes pulmonares, bocio multinodular, carcinoma de tiroides, tumores ováricos de cordones sexuales (Sertoli-Leydig) y nefromas quísticos o sarcomas renales.

Los estudios por imágenes identificaron una neoplasia de origen renal, una lesión tiroidea y un quiste pulmonar incidental en la TC de tórax. La anatomía patológica confirmó un nefroblastoma bilateral y un carcinoma folicular de tiroides, hallazgos que motivaron el estudio molecular confirmatorio para Síndrome de DICER1. El presente caso destaca el rol crucial del radiólogo en el reconocimiento de patrones imagenológicos sincrónicos en pediatría, fundamentales para la sospecha clínica temprana de este síndrome.

Haz click aquí para ver el diagnóstico final

Síndrome de DICER 1 confirmado por estudio molecular con presentación concomitante de tumor de Wilms bilateral y carcinoma folicular angioinvasivo de tiroides confirmados por anatomía patológica, y quiste pulmonar con sospecha de blastoma pulmonar

Seleccione la opción correcta

Correct! Wrong!

10. Bibliografía

  • Guillerman, RP, Foulkes, WD y Priest, JR (2019). Imagenología del síndrome DICER1. Radiología Pediátrica , 49 (11), 1488–1505. https://doi.org/10.1007/s00247-019-04429-x
  • Cazzato, G.  Casatta, N. “DICER1 Tumor Syndrome: A Retrospective Review and Future Perspectives”. Mol. Pathol. 2024 , 5 (3), 264-275; https://doi.org/10.3390/jmp5030019
  • Willis, CL, Lucas-Herald, AK, Naotunna, C., Chen, SC, Davidson, R., Sastry, J., Murphy, D., Shaikh, MG y Ronghe, M. (2024). Síndrome DICER1 y sus diversas presentaciones pediátricas: Serie de casos y revisión de la literatura. EJC Paediatric Oncology , 3 , 100164. https://doi.org/10.1016/j.ejcped.2024.100164
  • Caroleo, A. y De Ioris, M. (2021). “DICER1 Syndrome and Cancer Predisposition: From a Rare Pediatric Tumor to Lifetime Risk”.   https://pmc.ncbi.nlm.nih.gov/articles/PMC7859642/
  • Slade, I., Bacchelli, C., Davies, H., Murray, A., Abbaszadeh, F., Hanks, S., Barfoot, R., Burke, A., Chisholm, J., Hewitt, M., Jenkinson, H., King, D., Morland, B., Pizer, B., Prescott, K., Saggar, A., Side, L., Traunecker, H., Vaidya, S.,Rahman, N. (2011). Síndrome de DICER1: Aclaración del diagnóstico, las características clínicas y las implicaciones para el tratamiento de un síndrome de predisposición tumoral pleiotrópica. Journal of Medical Genetics , 48 ​​(4), 273–278. https://doi.org/10.1136/jmg.2010.083790

Entradas recomendadas