Autores:
Dr. Oscar Fernando Palomino Mafla
Hospital Infantil Los Ángeles, San juan de Pasto, Nariño, Colombia.
oscarfernando50@hotmail.com
Dra. Lizeth Lorena Dávila Maya
Hospital Infantil Los Ángeles, San juan de Pasto, Nariño, Colombia.
loren15_ap@hotmail.com
Los autores autorizan la publicación de este caso clínico en Sociedad Latinoamericana de Radiología Pediátrica.
Caso presentado en el Congreso SLARP Montevideo 2024
1. BREVE HISTORIA CLÍNICA
Paciente femenina de 8 años, con 4 meses de disfagia progresiva para sólidos y dolor cervical, pérdida ponderal de 4 kg en 2 meses. Antecedente sugerente de atoramiento de pieza de collar hace 2 años (no presenciado).
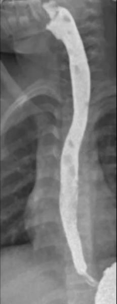
Estudios iniciales de motilidad y anatomía: Seriada Esofagogástrica muestra imagen diverticular en pared posterior del esófago cervical con retención de contraste que mide (42mm×48mm×14 mm).

Endoscopia (EVDA) diagnóstica identifica cuerpo extraño lineal de 3 cm enclavado en pared posterior cervical.
Se practica cervicotomia longitudinal izquierda (borde medial del ECM): se evidencia lesión quística con comunicación a la luz esofágica y cuerpo extraño intraluminal.


Resección completa sin lesión de estructuras adyacentes y esofagorrafia. EVDA de control: paso fácil a cámara gástrica, luz esofágica permeable, sin fugas.


Evolución clínica: retiro de SNG a las 72 h, antibiótico EV por 5 días , luego dieta líquida; seriada con contraste hidrosoluble al 5.º día sin extravasación ni estenosis; alta médica.
Anatomía patológica: epitelio escamoso con áreas erosivas, congestión, vacuolización; informe: “segmento de duplicación esofágica”.
Seguimiento: al mes, asintomática; al año, EVDA con paso fácil, sutura posterior íntegra, sin colecciones ni residuos; seriada con paso completo y discreto engrosamiento posterior a nivel de escotadura supraesternal, sin estenosis. Desarrollo actual normal.
2. Hallazgos radiológicos
Saco diverticular/quístico posterior en esófago cervical
En la seriada, colección de contraste adyacente a la luz, de contornos lisos, implantación en cara posterior cervical, que sugiere cavidad comunicante; mide (42mm×48mm×14 mm.) En duplicaciones, el esofagograma puede mostrar defecto de repleción o cavidad comunicante/adyacente según el grado de comunicación.
Retención de medio de contraste en la cavidad
Persistencia del contraste en la lesión durante la seriada, compatible con bolsillo quístico o diverticular con vaciamiento lento; en quistes de duplicación, la retención depende de la comunicación y del contenido viscoso.
Identificación endoscópica de cuerpo extraño
EVDA muestra objeto lineal de 3 cm enclavado sobre pared posterior cervical, hallazgo concordante con la clínica de disfagia prolongada; la endoscopia es el método de elección para diagnóstico/tratamiento de cuerpos extraños esofágicos en pediatría.
Permeabilidad postoperatoria
EVDA y seriada de control: paso libre a cámara gástrica, ausencia de extravasación; estos son criterios de integridad anastomótica/rafia y resolución de la obstrucción.
Engrosamiento residual discreto en cara posterior cervical
En la seriada de seguimiento, leve engrosamiento mural posterior a nivel de escotadura supraesternal, sin estenosis ni retención, compatible con cambios cicatrízales posquirúrgicos; la recurrencia de quistes es rara tras resección completa, pero el control imagenológico es recomendado.
3. Diagnósticos diferenciales
Seleccione la opción correcta:
FALSO (en este caso)
El Zenker verdadero es excepcional en pediatría; típicamente es una herniación de mucosa/submucosa a través del triángulo de Killian, sin pared muscular propia. Nuestro espécimen mostró duplicación (pared con musculatura y epitelio escamoso) y comunicación a la luz; además, la edad pediátrica favorece duplicación frente a Zenker.
FALSO (en este caso)
Adenopatías con necrosis quística pueden simular quistes, pero no se ubican como cavidad parietal comunicante con la luz esofágica ni retienen contraste como bolsillo esofágico; el patrón quirúrgico-patológico fue de duplicación.
VERDADERO (en este caso)
Ubicación en cualquier segmento del esófago 70% en el distal, lesiones bien delimitadas, redondeadas adheridas a la pared , comparten una capa muscular, comunicación parcial generando retención de contraste en la seriadas esofagogástrica, gran simuladores de Divertículos o Pseudoquistes, el Diagnostico es histopatológico.
Seleccione la opción correcta
4. Descripción del diagnóstico diferencial
Las Duplicaciones Esofágicas son malformaciones del intestino anterior; en niños pueden presentarse con disfagia, dolor cervical y complicaciones por retención de alimentos/cuerpos extraños.
ESOFAGOGRAMA puede evidenciar cavidad adyacente/comunicante con retención;
imagen de cavidad que se llena parcial o totalmente con contraste, puede persistir el contraste tras la deglución, con vaciamiento lento, defecto de repleción extrínseco si no hay comunicación.
TC/RM caracterizan pared y relación con estructuras; (TC) mayor irradiación y (RM) demoras al acceso.
RESECCIÓN COMPLETA (cervicotomía en lesiones cervicales), manejo de elección con excelentes resultados y baja recurrencia.
ENDOSCOPIA es clave para diagnosticar y retirar cuerpos extraños y para verificar la estanqueidad posoperatoria
5. Conclusiones
En edad pediátrica, una “bolsa posterior cervical” en seriada con retención debe hacer pensar primero en duplicación esofágica antes que Zenker.
La confirmación histológica (epitelio escamoso, pared muscular propia) consolida el diagnóstico.
El seguimiento endoscópico y con seriada documenta permeabilidad y ausencia de fugas/estenosis; la recurrencia tras resección completa es infrecuente.
6. Bibliografía
- Wahi JE, et al. Esophageal duplication cysts: a clinical practice review. Mediastinum. 2023. Revisión integral de clínica, imagen (esofagograma/TC/RM) y manejo quirúrgico/endoscópico.
- García DJ, et al. Congenital and iatrogenic esophageal diverticula in infants and children. Children (Basel). 2024. Serie pediátrica y revisión: raridad del divertículo cervical en niños y diagnóstico diferencial con duplicaciones.
- Chavan R, et al. Advanced endoscopic techniques for esophageal duplication cysts. VideoGIE. 2025. Alternativas endoscópicas seleccionadas al abordaje quirúrgico.
- Barrios P, et al. Surgical indications for mediastinal cysts—narrative review. Mediastinum. 2022. Criterios de resección de quistes mediastínicos/duplicaciones.
- Manfredi MA, et al. FISPGHAN Expert Panel Report (pediatric foreign body ingestion). J PediatrGastroenterolHepatolNutr. 2025. Recomendaciones de tiempos y técnica endoscópica en cuerpos extraños esofágicos.
- Zhao H, et al. Concurrence of extralobar sequestration, esophageal duplication, and bronchogenic cyst in a child.FrontPediatr. 2024. Caso que ilustra el espectro de duplicaciones del intestino anterior y diferenciales.
- Radiopaedia. Cystic mediastinal mass—differential. Actualizado (5 días). Listado actualizado de diferenciales quísticos mediastínicos/cervicales.



