Autores:
Dra. Alma Sánchez Baza
Radiología Pediátrica
laksanchersz.9@gmail.com
Dr. Eduardo Graniel Palafox
R3 Imagenología Diagnóstica y Terapéutica
e.granielpalafox@gmail.com
Dra. Annaliz Tena Hagelsieb
R2 Imagenología Diagnóstica y Terapéutica
atena363@gmail.com
Dr. Rafael Hernández Ruiz
R1 Imagenología Diagnóstica y Terapéutica
rafaelhernandezipn@outlook.com
Departamento de Imagenología Diagnóstica y Terapéutica.
Hospital General de México “Dr. Eduardo Liceaga”.
Ciudad de México. México.
Los autores autorizan la publicación de este caso clínico en Sociedad Latinoamericana de Radiología Pediátrica.
1. HISTORIA CLÍNICA
Paciente femenina recién nacido producto de primer gesta sin antecedentes heredofamiliares de relevancia con adecuado control prenatal; cuenta con antecedente patológico de amniodrenaje en la semana 34.4 por polihidramnios. Obtenida por vía abdominal, con manejo de vía aérea avanzada, por presentar tumoración en la región cervical derechade aproximadamente 12×8 cm, indurada, de bordes irregulares.
2. ESTUDIOS LABORATORIO
- Biometría hemática (29/10/25): Hb: 10.10 g/dL, Hto: 31.80%, Plaq: 277,00 x 10, Leu: 53.80 x 10.
- Inmunología (22/10/25):
- Alfafetoproteína: > 3000.00 ng/mL
- Fracción Beta de la HCG: 0.43
- Química sanguínea: PCR: 11.1
3. ESTUDIO DE ULTRASONIDO EXTERNO
Embarazo de 31.5 SDG, longitud CC 291.3 mm, PFE: 1888 gramos (percentil 58), líquido amniótico 27.9 cm por método de ILA, placenta corporal anterior grado II, hemodinamia normal y polihidramnios.
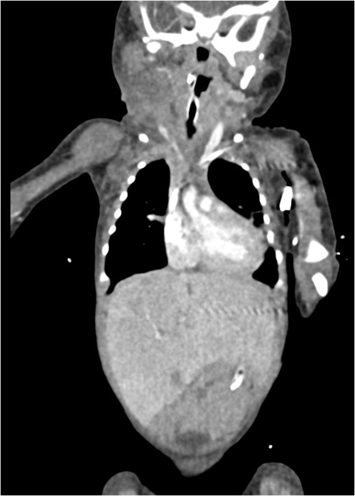
4. INFORME DE TOMOGRAFÍA CONTRASTADA TORACO-ABDOMINAL
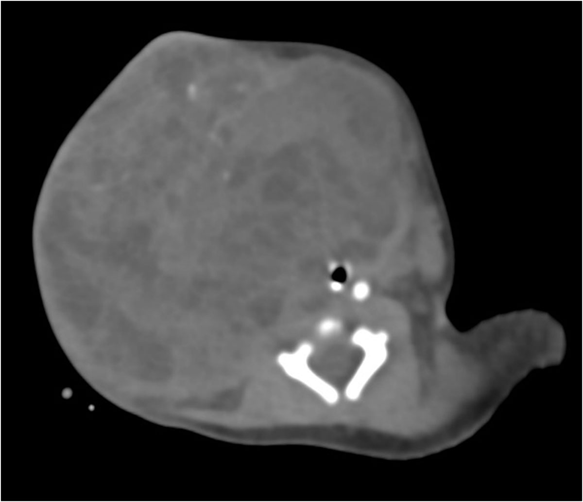
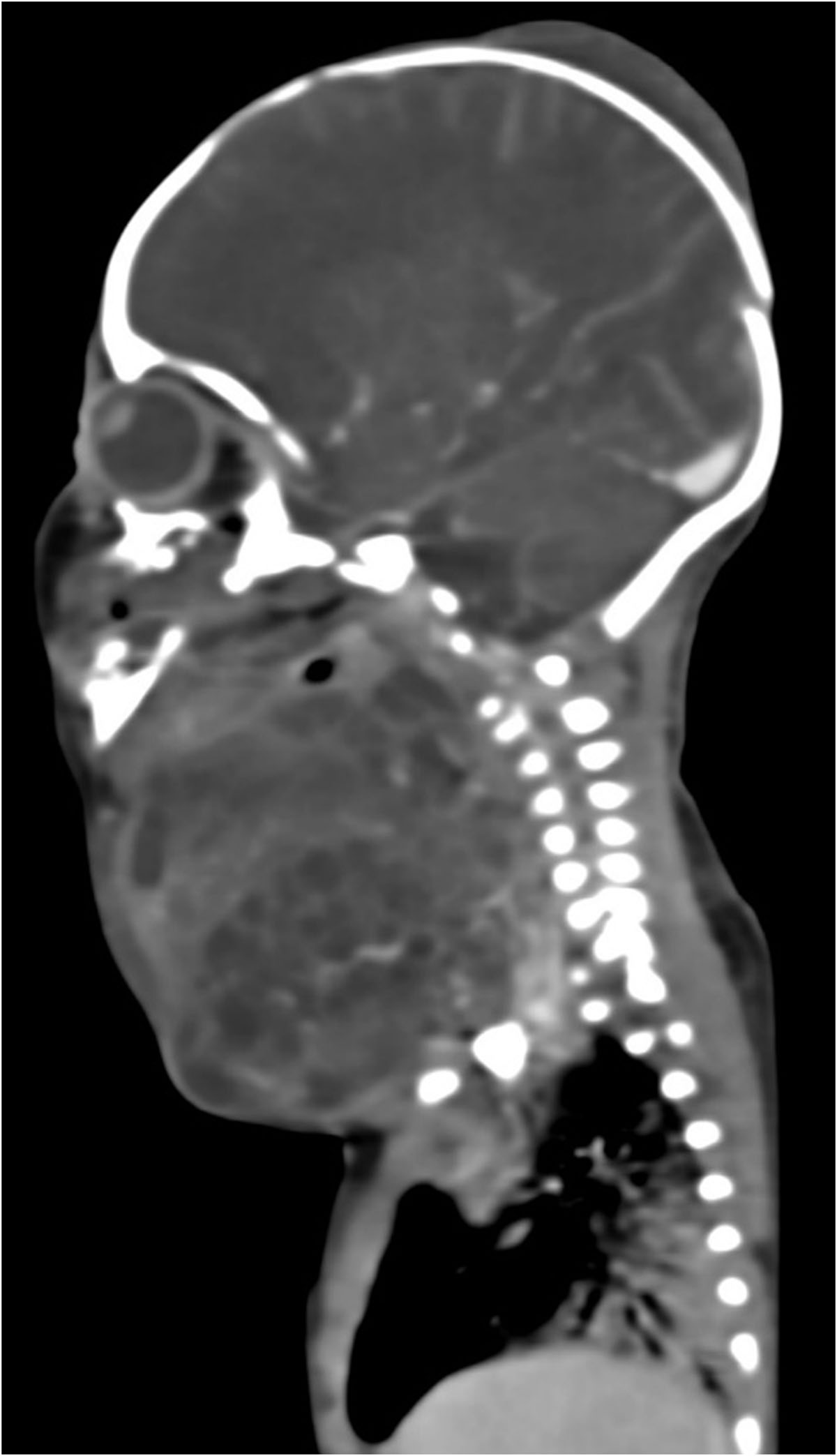
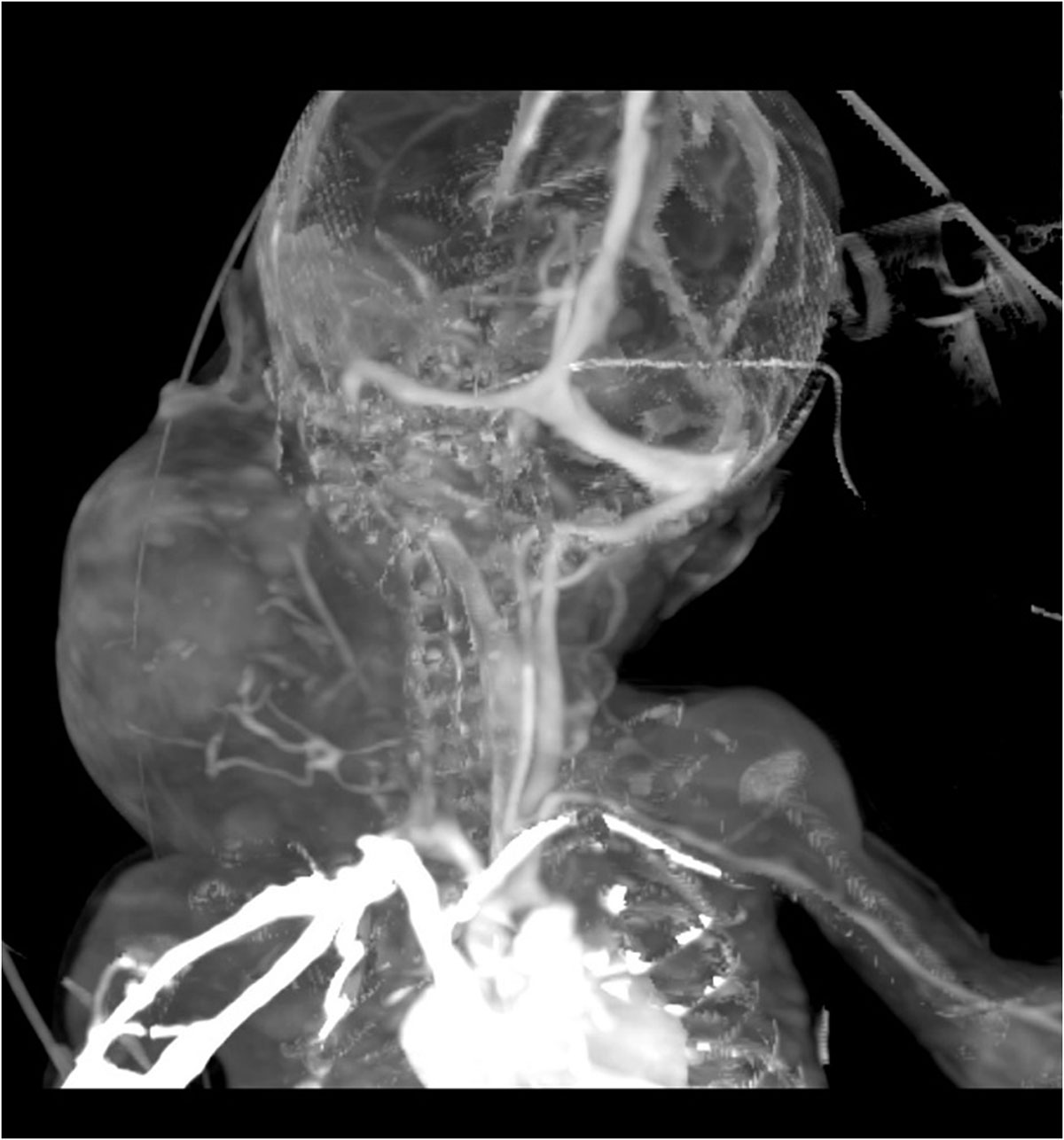
Se identifica imagen redondeada, de bordes lobulados, dependiente de tejidos blandos, heterogénea por áreas sólidas y quísticas internas, así como algunas calcificaciones irregulares dispersas, tras la aplicación de medio de contraste con realce ávido heterogéneo en sus porciones sólidas, con dimensiones de 89.3×88.3×80.9 mm y volumen de 333.6 cc; localizada en los espacios masticador, parotídeo, parafaríngeo, submandibular, visceral, supraesternal, perivertebral bucal y cervical posterior derechos.5. IMÁGENES





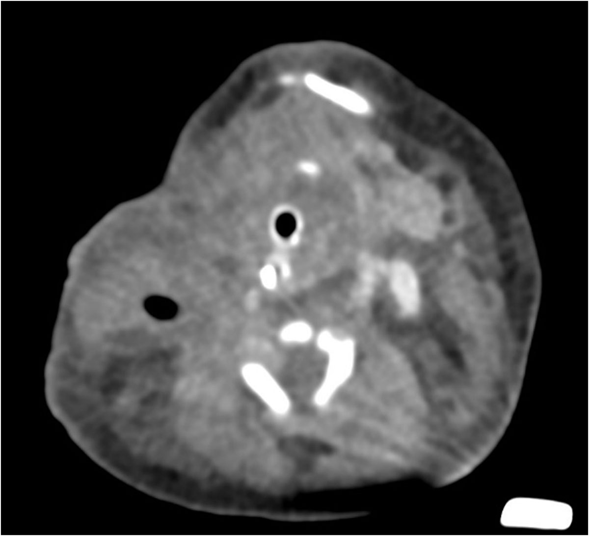
6. IMÁGENES POST-QUIRÚRGICAS


7. PREGUNTAS INTERACTIVAS
¿Cuál es tu sospecha diagnóstica?
¿De qué vaso es el principal aporte vascular de la lesión?
Seleccione la opción correcta
8. EVOLUCIÓN HOSPITALARIA
Se realiza cirugía el día 13/10/25 encontrando los siguientes hallazgos: Tumor cervical encapsulado de aproximadamente 30 x 45 cm de consistencia firme, no infiltrante, con desplazamiento pero sin invasión de estructuras adyacentes.
9. DIAGNOSTICO FINAL DE BIOPSIA POR PATOLOGÍA
- Teratoma inmaduro en cuello
- Componente inmaduro: 10-15%
- Grado: 3
Linfagioma: malformación congénita benigna del sistema linfático caracterizado por acumulo de linfa en espacios quísticos de tamaño variable. En ecografía muestra una lesión multitabicada, aneocica o con ecos finos. En TAC hay realce septal tras contraste.
Fibrosarcoma infantil: tumor maligno mesenquimatoso de partes blandas más frecuente de RN y lactante, caracterizado por proliferación de fibroblastos inmaduros, su principal localización en extremidades inferiores seguida de tronco cabeza y cuello, es una masa de crecimiento rápido ,firme e indolora. En ecografía es sólida, heterogénea bien delimitada hipervascular.
Malformación venosa: Son lesiones multiqusiticas o solidas sin espacios vasculares discernibles, acompañados de una coloración azulada en la piel, pueden ser espongiformes o displásicas. Los focos ecogénicos que indican trombos o pequeñas calcificaciones de sombra que representan flebolitos son muy sugerentes de malformaciones venosas.
Revisión
El teratoma cervical es una neoplasia congénita rara, derivada de células germinales pluripotenciales que contienen tejidos de las tres capas embrionarias. Representa menos del 5% de los teratomas pediátricos y su localización en el cuello puede ocasionar compromiso de la vía aérea, constituyendo una urgencia neonatal potencialmente mortal.
Diagnóstico por imagen
El diagnóstico radiológico es esencial tanto para su detección prenatal comopara la planificación quirúrgica postnatal.
En la ecografía prenatal, el teratoma se identifica como una masa heterogénea, de predominio sólido con áreas quísticas y, en ocasiones, calcificaciones
hiperecogénicas. El doppler color puede demostrar vascularización interna, lo que ayuda a diferenciarlo de otras lesiones congénitas como el linfangioma o el quiste branquial.
La tomografía computarizada (TC) muestra una masa compleja bien delimitada, con componentes sólidos, quísticos, calcificados y grasos, hallazgo característico de los teratomas maduros. La TC permite valorar la relación con estructuras vasculares, la vía aérea y el mediastino, siendo útil en la planificación quirúrgica.
La resonancia magnética (RM) constituye la técnica de elección para la evaluación anatómica detallada, debido a su superior contraste tisular y la ausencia de radiación ionizante. En secuencias ponderadas en T1 se observan focos hiperintensos por grasa o hemorragia, mientras que en T2 predominan las áreas quísticas hiperintensas [1,5]. Además, la RM define la extensión hacia el mediastino o la base del cráneo y permite valorar el desplazamiento o compresión traqueal, aspectos críticos para el manejo perinatal.
Diagnóstico diferencial
Entre las principales entidades a considerar se incluyen el linfangioma quístico, el fibrosarcoma juvenil, el quiste branquial y malformación arteriovenosa. A diferencia de estos, el teratoma suele presentar mayor heterogeneidad interna y la coexistencia de grasa y calcificaciones, rasgos distintivos en imagen.
Manejo y pronóstico
El tratamiento consiste en la resección quirúrgica completa, la cual puede requerir abordajes multidisciplinarios, especialmente cuando existe compromiso de la vía aérea. En casos diagnosticados prenatalmente, se recomienda la planificación del parto mediante la técnica EXIT (Ex UteroIntrapartumTreatment), que permite asegurar la ventilación del recién nacido antes de cortar el cordón umbilical [1,3].
El pronóstico es generalmente favorable en lesiones benignas completamente resecadas, aunque se ha descrito recurrencia o transformación maligna en casos de resección incompleta.
10. Bibliografía
1. Choudhary AK, et al. Cervical teratomas: prenatal diagnosis and imagingspectrum. Radiographics. 2023;43(5):e230064.
doi:10.1148/rg.230064
2. González S, et al. Valoración de masa cervical: motivo de preocupación. Pediatría Atención Primaria (PAP.es). 2020;22(86):e91–e100.
Disponible en: https://pap.es/articulo/14267/valoracion-de-masa-cervical-motivo-de-preocupacion
3. Choudhary P, et al. Cervical teratoma: case series and literaturereview. Cureus. 2020;12(4):e7563. PMC7140292
4. Melo CA, et al. Teratoma cervical: diagnóstico y manejo. Revista Colombiana de Radiología. 2009;20(1):33–39.
Disponible en: http://www.scielo.org.co/scielo.php?script=sci_arttext&pid=S0120-87052009000100008
5. Méndez-Ramírez M, et al. Teratoma cervical en recién nacidos: diagnóstico y tratamiento. Revista Mexicana de Ecografía Médica. 2013;13(6):267–272.
Disponible en: https://www.medigraphic.com/pdfs/revmedele/me-2013/me136g.pdf



