Autoras:
Dra. Isabel Schild
Dra. Natalia Pinochet
Dra. Lizbet Pérez
Dra. María Francisca Normabuena
Dra. Isabel Fuentealba
Clínica Alemana de Santiago, Chile.
Las autoras autorizan la publicación de este caso clínico en Sociedad Latinoamericana de Radiología Pediátrica.
Caso presentado en el Congreso SLARP Bolivia 2025
1. HISTORIA CLÍNICA
Paciente femenina de 12 años, sin antecedentes mórbidos. Consulta en servicio de urgencia por coxalgia izquierda post trauma. Se realiza radiografía de pelvis AP y ecografía de cadera, ambas sin hallazgos patológicos. Persiste con dolor, por lo que se solicita RM de cadera. Dados los hallazgos, se complementa con secuencias de pelvis contrastada y TC.
2. HALLAZGOS RADIOLÓGICOS








A partir de estos hallazgos, seleccione la opción correcta:
FALSO (en este caso)
FALSO (en este caso)
FALSO (en este caso)
3. Descripción de los hallazgos en forma detallada
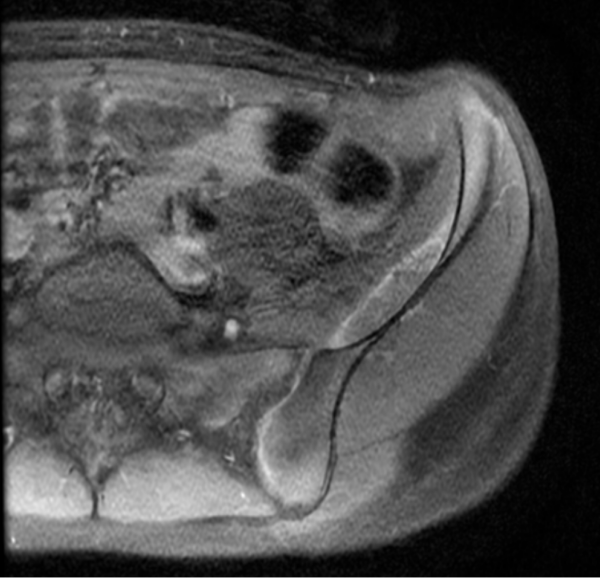
RM de cadera izquierda, secuencia PD TSE FS axial (Imagen 1) y sagital (Imagen 2). Se observa una imagen lentiforme subperióstica ilíaca de alta señal, bien delimitada, con un nivel líquido-líquido.
Secuencia de pelvis coronal, T2 STIR (Imagen 3). Se observa una imagen lentiforme subperióstica ilíaca izquierda de alta señal, bien delimitada, con un margen medial hipointenso. Leve asimetría de los huesos ilíacos, por mayor señal del izquierdo.
Secuencias de pelvis axial, T1 FSE, sin (Imagen 4) y con contraste (Imagen 5). La lesión presenta señal alta, levemente heterogénea, con nivel líquido-líquido. No demuestra realce significativo con el contraste endovenoso.
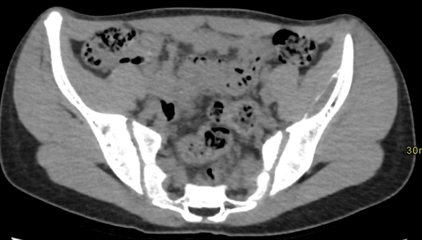
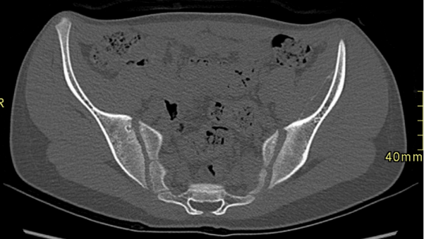
Cortes axiales de TC de pelvis, en ventana de partes blandas (Imagen 6) y ósea (Imagen 7). Lesión lentiforme subperióstica iliaca izquierda, con calcificación periférica.
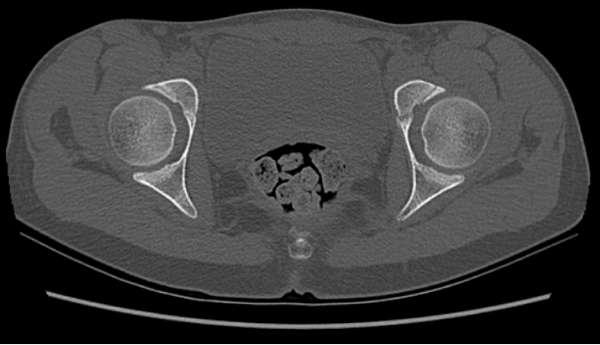
Corte axial en ventana ósea de TC de pelvis (Imagen 8). Asimetría en la rama ilio-pubiana del cartílago trirradiado, con mayor amplitud a izquierda.
4. Diagnóstico diferencial
VERDADERO (en este caso)
Colección hemática entre el periostio y la cortical, generalmente post traumática. Se presenta como una lesión lentiforme adosada al hueso, con niveles líquido-líquido en RM y sin realce significativo tras contraste. Puede asociarse a calcificación periférica en TC. Los hallazgos descritos y el antecedente clínico son concordantes con este diagnóstico.
FALSO (en este caso)
Lesión reactiva intramuscular post trauma. Puede simular una masa en etapas iniciales, pero su localización no es subperióstica.
FALSO (en este caso)
Colección intramuscular, de morfología no lentiforme y no adosada a la cortical ósea. La localización subperióstica permite descartarlo como diagnóstico principal.
FALSO (en este caso)
Colección infecciosa que típicamente presenta realce periférico tras contraste y signos inflamatorios asociados, no evidentes en este caso.
FALSO (en este caso)
Tumor de superficie ósea que se presenta como una masa sólida osificada con realce, sin niveles líquido-líquido. La ausencia de características agresivas lo hace poco probable.
5. Diagnóstico final
Haz click aquí para ver el diagnóstico final
Seleccione la opción correcta
6. Bibliografía
- Palma Ceppi R. Chronic subperiosteal hematoma of the iliac bone [Text/html]. 26 de mayo de 2021. doi:10.35100/EURORAD/CASE.17305
- Hall M, Anderson J. Hip Pointers. Clinics in Sports Medicine. abril de 2013;32(2):325-30. doi:10.1016/j.csm.2012.12.010
- Wallace M, Kruse R, Eutsler EP, Averill LW. MRI findings of post-traumatic subperiosteal hematoma of the iliac bone with resultant femoral nerve palsy in an adolescent boy. Pediatr Radiol. agosto de 2016;46(9):1350-3. doi:10.1007/s00247-016-3581-3
- Hughes P, Dow D, Boyer L, Morganti V. Ossifying chronic subperiosteal haematoma of the iliac bone. J Med Imag Rad Onc. agosto de 2019;63(4):479-80. doi:10.1111/1754-9485.12869
- Takenaka S, Hamada K ichiro, Tanaka H, Outani H, Naka N, Yoshikawa H. Silent subperiosteal iliac hematoma with bone radiolucency in adolescent male athletes. Journal of Orthopaedics. enero de 2020;17:198-202. doi:10.1016/j.jor.2019.08.011
- Yumoto T, Joko R, Yamakawa Y, Yamada T, Naito H, Nakao A. Subperiosteal Hematoma of the Iliac Bone: An Unusual Cause of Acute Hip Pain after a Fall. Am J Case Rep. 12 de septiembre de 2018;19:1083-6. doi:10.12659/AJCR.910010
- Guillin R, Moser T, Koob M, Khoury V, Chapuis M, Ropars M, et al. Subperiosteal hematoma of the iliac bone: imaging features of acute and chronic stages with emphasis on pathophysiology. Skeletal Radiol. junio de 2012;41(6):667-75. doi:10.1007/s00256-011-1267-3
- Hynes JP, Downey RE, Hughes N, O’Keane CJ, Kavanagh E. Subperiosteal hematoma of the iliac wing presenting with leg weakness in a young adult footballer. Radiology Case Reports. abril de 2020;15(4):424-6. doi:10.1016/j.radcr.2020.01.019
- Choi HJ, Lee CC, Lim TH, Singer AJ. Traumatic subperiosteal pseudoaneurysm: rare cause of subperiosteal hematoma. The American JournalofEmergency Medicine. noviembre de 2009;27(9):1172.e5-1172.e7. doi:10.1016/j.ajem.2009.01.011



